항문피 위험합니다
안녕하세요 까몽이입니다.
오늘은 항문피에 대해 알아볼게요.
살아가면서 한 번씩은 항문피에 대해 겪어보셨을 거라 생각됩니다. 상당한 피로가 누적되거나 전날 과음을 했을 경우 외에도 정말 정상적인 생활환경에서도 항문에서 피가 나는 경험을 하곤 합니다.

이 포스팅을 보시는 분들은 아마 항문피를 당장 경험하셨을 거라고 생각되는데요,
일반인들이 알아야 할 정도로 쉽지만 자세하게 설명드릴테니 잘 읽고 지식으로 가져가셨으면 합니다.
항문피 위험성, 해결법, 예방법을 아래를 확인하세요.
항문피 위험성
항문피 위험성입니다.
항문피는 위험할 수 있는 여러 가능성을 내포하고 있습니다.
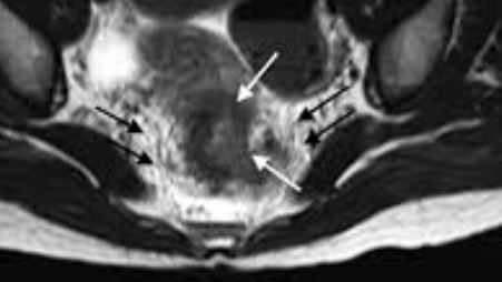
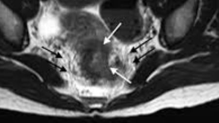
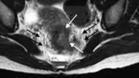
항문피를 경험하면 대개 치질이 아닐까 걱정하는데, 사실 걱정해야 할 것은 치질보다는 실제 건강에 큰 위험을 주는 대장암을 걱정해야 합니다.


물론 치질이 항문 출혈의 가장 흔한 질병인 것은 맞지만, 치열이나 혹은 대장암 등을 의심해야 하는 것이 좋습니다. 대장암의 하나의 증상이 바로 항문피이기 때문입니다.
(항문피가 난다고 대장암의 확률이 높은 것은 아니니 너무 걱정하실 필요는 없습니다만, 혹시 모를 일에 대비한다고 생각하시면 됩니다.)
항문피 해결법
항문피 해결법은 간단합니다.
대장항문외과에 방문하는 것입니다.
이때 꼭 알아두셔야 할 팁이 있는데요, 일반 외과를 가지 마시고 꼭 근처의 대장항문외과를 방문하시기 바랍니다. 일반 외과의사가 운영하는 병원 말고, 대장항문외가 세부전문의를 찾아가시는 것이 좋습니다.
대장항문 세부전문의가 되기 위해서는 상당히 많은 시간이 필요하며 이 자격은 대장항문 질환을 주로 연구하는 대한대장항문학회에서 엄격한 기준으로 검증하기 때문입니다.
일반 피부들과는 다르게 항문이란 곳은 상당히 예민하고 복잡하게 되어있습니다.
가령 항문이 아닌 일반 피부의 종기는 짜지 않아도 자연스럽게 사라지거나 할 수 있지만,
항문 근처에 나는 종양들은 근처에 직장이 같이 있어 종양이 커지거나 자연치료가 되지 않았을 경우 치루와 같은 큰 병으로 커질 수 있기 때문에 항문 질환은 꼭 내원하시는 것이 좋습니다.


대장항문 세부전문의를 찾는 방법은 네이버에 대장외과를 확인 후 직접 전화해서 확인하는 방법입니다. 확인하는 과정이 절대 대상 병원에 무례한 것이 아닌 환자의 권리이니 걱정말고 확인하시기 바랍니다.


다만, 항문피가 1~2회 일시적으로 나타나는 경우는 스스로 잘 판단하여 경과를 조금 지켜볼 수는 있으나 지속되거나 덩어리채 나온다면 꼭 내원하시기를 권장드립니다.
항문피 예방법
항문피 예방법은 상당히 간단합니다.
바로 건강한 생활습관입니다. 술, 담배 줄이시고 너무 육류 위주의 식사는 지양하며 잠 잘 자고 운동하는 것입니다.
이러한 식상한 답변을 원하시진 않으시죠?


좋은 예방법을 소개해드리자면 바로 좌욕입니다.
좌욕이란 35~40도의 물로 항문 쪽을 5~10분 정도 담가 놓는 것입니다. 별거 아닌 것 같아 보이지만 상당한 효과를 갖고 있으며, 각종 항문질환 수술 후에도 의사들이 적극 권장하는 행위입니다.
좌욕은 일반 대야에서도 할 수 있지만, 인터넷에서 간단하게 5,000 ~ 10,000원 선에서 좌욕기를 구매하여 손쉽게 할 수 있습니다. 좌욕기는 필요할 때 변기에 낀 후 변기에 앉아서 하기 때문에 쉽고 간편합니다.


30분 ~ 1시간이 아닌 5~10분만 하면 되므로 샤워 끝나고 가볍게 하면 좋을 것 같습니다.
항문피 결론
오늘은 항문피에 대해 알아보았습니다.
항문피는 단순 치질이 아니라 대장암의 원인일 수 있으니 꼭 내원하시기를 바라며 각종 항문질환에 대해 가볍게 생각하지 마시고 잘 해결하셨으면 합니다.
감사합니다.
아래 항문질환에 도움되는 정보가 있으니 확인하세요
여에스더 유산균 솔직후기 (복용법, 먹는시간 등)
여에스더 유산균 솔직후기(복용법, 먹는시간) 여에스더 유산균 솔직후기입니다. 현대 시대가 요구하는 삶을 살기 위해 자연스럽게 운동량은 적어지고 식습관은 더욱 서구화 되고 있습니다. 그
loveggamang2.com
프로바이오틱스 프리바이오틱스 차이 [완벽 정리]
프로바이오틱스 프리바이오틱스 차이 서구화된 식습관과 운동 부족으로 인해 장 건강은 더욱 안 좋아지며, 이에 따라 장 건강에 도움을 주는 주요한 영양제인 유산균이 관심을 받고 있습니다.
loveggamang2.com
댓글